时间:2021/8/2 17:33:30 作者:田媛
铂敏感复发 BRCA突变 HRD阳性 满意肿瘤细胞减灭术 腹腔热灌注化疗 PARPi单药治疗 多线复发*仅供医学专业人士阅读参考



00:000:00
病例介绍


00:000:00
专家点评
复发性卵巢癌是公认的卵巢癌治疗难点,既往规范治疗多为手术+化疗,但居高不下的初始治疗后复发率、以及逐渐缩短的无铂间期,都让临床医生变得束手无策,让患者心力交瘁,这一困境直到PARP抑制剂的出现,让卵巢癌治疗柳暗花明。本次我们将分享一例复发性卵巢癌两度复发后,于维持治疗阶段启用PARP抑制剂尼拉帕利,为患者赢得更长生存的案例。
病例回顾
基本资料
患者女性,起病年龄54岁,已婚已育,否认其他疾病病史和手术史;妹妹患“子宫颈癌”。
治疗经过
✔初始治疗
2014年12月因“肛门坠胀一月,腹胀一周”入院。一月前外院行肠镜检查,行“肠镜下结肠息肉电切术”。入院后盆腔三维超声检查提示:盆腔多发实性、混合性肿块(较大者6.4x6.1x8.1 cm,5.7x4.7 cm);盆腹腔积液(陶氏腔6.7 cm,左、右侧腹6.8 cm、7.0 cm)。上腹部彩超提示:脾脏脏面实质性肿块,腹腔积液(前后径9.3 cm)。CA-125 1884 U/mL。
妇科检查:外阴已婚型,阴道畅,宫颈光滑,盆腔可触及孕4月大小实性肿块,边界不清,固定,无压痛。
初步诊断:卵巢恶性肿瘤。
患者于2014年12月17日行卵巢癌初次肿瘤细胞减灭术(次广泛子宫切除+双附件+大网膜+阑尾切除+盆腹腔转移病灶切除+部分盆腔腹膜切除+腹腔化疗泵植入术),减瘤满意,达R1级。术后病理:双侧卵巢低分化浆液性腺癌累及左输卵管、双侧宫旁、子宫壁、阑尾浆膜层、盆腔腹膜、大网膜及盆腔转移灶。
最终诊断:卵巢高级别浆液性腺癌Ⅲc期。
术后患者接受含铂静脉+腹腔化疗(紫杉醇+卡铂)共8周期(2014年12月~2015年7月)。第一周期化疗后CA-125已降至正常范围,之后维持在10 U/ml以下(图1)。超声影像学检查未发现异常。化疗期间患者的主要不良反应为骨髓抑制、脱发和胃肠道反应。治疗结束后,患者开始规律随诊。

图1 一线化疗期间患者CA-125变化曲线
✔第一次复发
2017年12月,患者复查CA-125 55.0 U/ml,余未诉不适。PET-CT:1.右肺上叶磨玻璃影,部分代谢轻度增高,考虑为肿瘤性病变可能。2.脾脏包膜下局部片状代谢增高影,不除外转移性肿瘤可能。3.升结肠局部壁厚,代谢增高,不除外肿瘤性病变。4.双侧颈部、纵膈及右侧膈肌脚后淋巴结增多,部分稍大,部分代谢增高,考虑卵巢癌复发(图2)。综合考虑,患者为临床复发。

图2 患者第一次临床复发PET-CT结果
由于患者初次手术为R1级,且为全身多部位复发,因此治疗方案选择含铂化疗。2017年12月~2018年5月,患者接受脂质体多柔比星+卡铂化疗(静脉+腹腔化疗)共6周期。第二周期化疗后CA-125已降至正常范围,之后维持在10 U/ml左右(图3)。治疗结束时影像学检查病灶消失。治疗期间,患者的不良反应较一线化疗时明显,主要为骨髓抑制,经过对症支持治疗后恢复。2018年5月,患者再次进入随访阶段。

图3 第一次复发化疗后CA-125变化情况
✔第二次复发
2018年12月,患者复查CA-125 23.0 U/ml,盆腔三维彩超提示盆腔积液(2.9 cm)。此时考虑患者可能为生化复发。NCCN指南建议生化复发者可选择参加临床试验,或者推迟到临床复发再治疗,或者立即按复发癌治疗(2B类证据)。国内指南建议仅CA-125升高的患者可选择使用他莫昔芬(Tamoxifen)或其他激素类药物,或者参加临床试验,或者观察随诊直至临床复发,或者立即按复发肿瘤进行化疗。考虑到患者此时PFI不足7个月,于是给予阿帕替尼每日500 mg口服,每月监测CA-125值。

图4 患者生化复发后CA-125变化情况
口服阿帕替尼第二个月,患者CA-125升高至87.5 U/ml(图4)。行PET-CT提示:1.右肺上叶磨玻璃影,部分代谢轻度增高,较前相仿,考虑为肿瘤性病变可能。2.阴道残端代谢无增高。3.腹膜后、双侧腋窝及双侧腹股沟区炎性或非特异性小淋巴结可能。4.右侧腰侧腹、右侧盆壁皮下片絮状影,代谢轻度升高,考虑炎性改变可能(图5)。结合病史,仍考虑为生化复发。为进一步延长PFI,给予患者口服替吉奥 50 mg,一天两次,连续14天,间隔7天。继续监测CA-125变化情况。

图5 患者生化复发后PET-CT结果
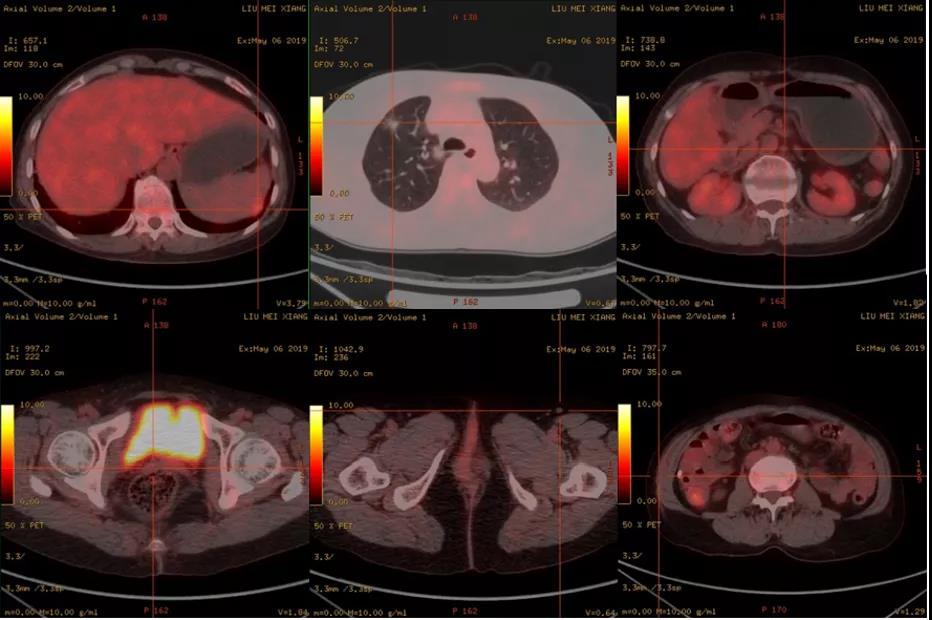
患者服用替吉奥期间,CA-125一度下降至正常范围,但第三个月复查CA-125 200.9 U/ml(图6)。再次行PET-CT显示:1.脾脏包膜下局部片状稍低密度影,代谢增高,结合病史考虑为肿瘤转移性病变可能。2.右肺上叶、左肺下叶磨玻璃影,部分代谢增高,不排外为肿瘤性病变可能。3.右肺中叶、右肺下叶、左肺多发微小结节或结片、半片状影,部分代谢增高;纵隔小淋巴结增大,代谢无增高,上述部分较前相仿。4.右侧腰腹壁皮下片絮状影,代谢轻度升高、考虑炎性改变可能;阴道残端代谢无增高(图7)。此时该患者确诊为第二次临床复发。

图6 持续关注患者CA-125情况

图7 2019年5月患者PET-CT结果
由于此次复发部位为肺部和腹腔内,并且PFI已达12个月,因此治疗方案仍选择含铂化疗。2019年5月~2019年10月,患者接受吉西他滨+奈达铂方案化疗共6周期。第三周期化疗后CA-125已降至正常范围,之后维持在20 U/ml左右(图8)。影像学检查病灶消失。整个治疗过程中患者不良反应较以往化疗时明显,主要为骨髓抑制,经过对症支持治疗后恢复。

图8 三线治疗后患者CA-125保持稳定
✔维持治疗
患者基因检测结果为gBRCA1致病突变。于2019年11月开始口服尼拉帕利200 mg,每日一次维持治疗。不良反应包括轻度胃肠道反应,一过性肝功能轻度异常,轻度贫血(100~116 g/L),血小板正常范围(155~232x 109/L)。目前维持治疗已逾17个月,CA-125波动在10 U/ml左右(图9),影像学检查未见复发征象。

图9 维持治疗期间患者CA-125保持稳定
病例总结
该患者是一例典型的上皮性卵巢癌病例,初治时已经是晚期,经过满意减瘤手术和含铂化疗后达到完全缓解。初始治疗结束后2年半第一次复发,接受含铂化疗后再次完全缓解。第二次生化复发时PFI仅为7个月,通过口服小分子靶向血管药物和口服化疗药延长PFI,到确诊为临床复发时再次选用含铂方案化疗,仍然可以达到完全缓解。之后口服尼拉帕利维持治疗,PFI已经超过第二次复发时的7个月,治疗期间患者无明显不良反应,未发生骨髓抑制情况等,未发生剂量减停,获得了较为满意的临床效果。
专家点评
卵巢癌是女性生殖系统最常见的恶性肿瘤之一,发病率居女性生殖系统肿瘤第三位,死亡率位居第一。全球每年大约有225,000 例新发卵巢癌病例,其5年生存率仅为30%左右;中国人群卵巢癌新发病例为52,971 例/年,且逐年增加,死亡病例达30,886 例/年。由于卵巢癌缺乏早期诊断手段,大约70%的患者就诊时已为晚期。目前,卵巢癌的主要治疗方法依然是争取彻底的肿瘤细胞减灭术加上以铂为基础的联合化疗。经过治疗,约70%的患者可以达到完全缓解或部分缓解。然而,仍有约70%的晚期上皮性卵巢癌患者会在初始治疗后两年内复发,需要行再次手术或者化疗,反复化疗后,无化疗间期逐渐缩短,患者对化疗的反应越来越差,终将面临“无药可用”的困境。
近年来,关于PARP抑制剂等药物的多项临床试验结果显示:卵巢癌患者维持治疗可达到延长无铂间期或无化疗间期,改善患者治疗效果的目的。如今,晚期上皮性卵巢癌的治疗模式逐渐由以往的“手术+化疗+观察随访”模式转变成“手术+化疗+维持治疗”模式。
该病例是一例典型的晚期卵巢高级别浆液性腺癌的病例,经过手术加化疗达到完全缓解后多次复发,每次复发的无进展生存期逐渐缩短,最后即将面临无药可用的困境。三线化疗达到完全缓解后,医生和患者共同面临的问题是如何选择维持治疗的药物。SOLO-2,NOVA,ARIEL-3三项临床试验均显示:PARP抑制剂显著延长BRCA突变铂敏感复发卵巢癌患者二线化疗后的PFS。该患者存在胚系BRCA1突变,选择PARP抑制剂维持治疗能够获益。因此,该患者在三线化疗后服用尼拉帕利维持治疗,至今已达17个月,未发生严重不良反应,已远远超过了第一次复发后的无治疗间期。
晚期卵巢癌的治疗在规范化的基础上,需要兼顾个体化和精准化。对于复发癌患者,控制症状,改善生活质量,减少毒副反应,延长PFS及OS是主要目的。在维持治疗过程中,需要严密监测不良反应,同时评估病情变化。长期规划和终身管理已经成为晚期卵巢癌治疗的普遍接受的理念,作为一名妇科肿瘤医生,希望能有更多的药物和方法,提高患者5年生存率,能让更多的卵巢癌患者度过五年,甚至十年的生存期。
阅读量:2360 | 点赞量:0
分享
收藏